- Looking for accurate diagnosis & reliable treatment?
Complex Spinal Issues
Dr Paul Thng Leong Keng
MBBS (Singapore)
FRCS (Ortho) (Edin)
FRCS (Glas)
More Examples of Other Spine Procedures
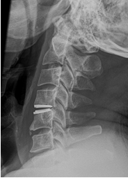
2. Posterior Neck Surgery in a 68 year old following a fall, causing a neck fracture-dislocation at C4/5 and C7.
The post-operative X-rays were taken at 3 months after the incident.


3. Minimally invasive lumbar spine surgery (MIS TLIF)
A 65 year old lady with spinal compression, causing weakness and numbness of her lower limbs, left worse than the right. Walking became a burden and she needed to rest every 5-10 mins. Despite multiple occasions and different types of therapy there was no significant long term improvement. A minimally invasive decompression (“freeing of the nerve”) and stabilization was performed with a good outcome, with walking tolerance improvement to 60 mins at 1 year post op.

4. Scoliosis case or “curved spine”
21 year old lady with a curved spine since childhood, noted that in recent years was getting worse. She also experienced intermittent back pain. She opted to go for correction surgery. Post operation she felt that had gained 3 cm in height.

5. Progressive weakness or cervical myelopathy
A 85 year old gentleman who was suffering from progressive weakness and numbness of all 4 limbs over 4 years. He initially declined surgery because of fears of the risks. He reached a stage where he could not use his hands even to feed himself and needed to move around in a wheelchair. Post surgery he made a good recovery with the ability of independent home walking and self care.

6. Minimally invasive surgery for spinal fractures
An unfortunate 25 year old gentleman was involved in an accident as a motorcyclist and suffered multiple injuries (chest and abdomen, limb fractures) including 3 level fractures of the spine. The fractures were stabilized in the minimally invasive fashion and the implants were subsequently removed, with a good recovery

Please note that surgical outcomes may vary from patient to patient
Schedule An Appointment Within 24 Hours
If you're suffering from a slipped disc, we're here to help.
Contact us to start your journey towards recovery.
Dr Paul Thng Leong Keng
Dr Thng’s work has been duly acknowledged by his fellow surgeons both internationally and locally.
- MBBS (S’pore) 1988; National University of Singapore
- FRCS (Edin) 1995; Royal College of Surgeons of Edinburgh
- FRCS (Glas) 1995; Royal College of Physicians and Surgeons of Glasgow
- Specialist accreditation in orthopaedics, Singapore 1999 Specialist Accreditation Board Singapore
- United States Medical Licensing Examination 1997
Dr Paul Thng Leong Keng, an alumnus of Catholic High, Anglo Chinese Secondary School and Anglo Chinese Junior College, did sufficiently well in school to be awarded the prestigious Singapore’s Public Service Commission (PSC) Local Merit Scholarship to study Medicine in the National University of Singapore (NUS) in 1983, only 1 of the 8 in his medical class.
PTL Spine & Orthopaedics
Mount Elizabeth Novena Specialist Centre
38 Irrawaddy Road #07-34
Singapore 329563
Make An Appointment
For enquiries or feedback, please fill the following form below and we will get back to you as soon as we can.






